Category: Medical
AbbVie’s SKYRIZI Shows Promise for Crohn’s Disease: 55% Remission Rate Offers New Hope
A Breakthrough That Could Change Treatment Landscapes For anyone living with Crohn’s disease, the constant search for effective treatments that actually work…
When Crohn’s Disease Masquerades as Another Condition: A Critical Lesson in Accurate Diagnosis
For many of us living with Crohn’s disease, the journey to diagnosis can feel like navigating a medical maze. But what happens when even experienced healthcare…
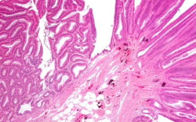
New Research Reveals Critical Differences in Cancer Risk from IBD-Related Precancerous Lesions
If you’re living with inflammatory bowel disease, the possibility of developing colorectal cancer has likely crossed your mind during quiet moments between…
New Subcutaneous Infliximab Data Offers Hope for IBD Patients After Treatment Interruptions
A Breakthrough for Those Who’ve Had to Stop Their Medication If you’ve ever had to pause your infliximab treatment due to surgery, infection, or other health…
This Week in IBD: Your Weekly Roundup for March 3-9, 2026
Welcome to This Week’s Roundup Welcome back to our weekly digest of the latest IBD content! This week, we published 7 comprehensive articles covering…
Finding Your Exercise Sweet Spot: How Movement Can Transform Your Ulcerative Colitis Journey
If you’re living with ulcerative colitis, you’ve probably experienced the frustrating cycle of wanting to stay active while wondering if exercise might trigger…
Intermittent Fasting and Crohn’s Disease: What New Research Means for Your Daily Management
If you’re living with Crohn’s disease, you’ve likely experienced the complex relationship between eating and symptoms. The timing of meals, the fear of…
Breakthrough Blood Test Could Predict Ulcerative Colitis Risk Years Before Symptoms Appear
Imagine if a simple blood test could tell you whether you’re at risk of developing ulcerative colitis years before the first symptom appears. For families with…
Navigating Insurance and IBD Treatment Costs: Your Complete Guide to Financial Relief
Living with inflammatory bowel disease (IBD) brings enough challenges without the added stress of navigating complex insurance systems and overwhelming…
Transform Your Mornings: 4 Expert-Backed Habits to Better Manage Ulcerative Colitis
If you’re living with ulcerative colitis, you know that mornings can set the tone for your entire day. That first hour after waking often determines whether…